Combien D'implants Dentaires Peut On Poser En Une Seule Fois

3(3690 votes)
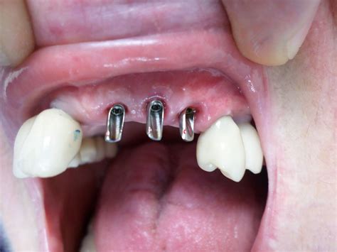
Combien d'implants dentaires peut-on poser en une seule fois

Combien D'implants Dentaires Peut On Poser En Une Seule Fois. .

Combien d'implants dentaires peut-on poser en une seule fois

Combien d'implants dentaires peut-on poser en une seule fois

Combien d'implants dentaires peut-on poser en une seule fois
Source: clinadent.fr 1920 x 1280

.

combien d'implants dentaires peut on poser en une seule fois

combien d'implants dentaires peut on poser en une seule fois
Source: www.dr-martinphilippe.ch 1600 x 1200

.

Combien d'implants dentaires en Turquie ? - Dentaire Turquie - 2022

Combien d'implants dentaires en Turquie ? - Dentaire Turquie - 2022
Source: www.panoramikdentalclinic.com 1400 x 500

.

Implant dentaire ou prothèse : que choisir ? • 123 info santé

Implant dentaire ou prothèse : que choisir ? • 123 info santé
Source: www.123infosante.com 960 x 640

.

L’implant dentaire : présentation et coût

L’implant dentaire : présentation et coût
Source: cabinetdentairesaintouen.com 1000 x 749

.

Peut-on poser des implants dentaires chez les diabétiques et les

Peut-on poser des implants dentaires chez les diabétiques et les
Source: www.allodocteurs.fr 1366 x 768

.

Implant Dentaire en Turquie Avis, Prix à partir de 400

Implant Dentaire en Turquie Avis, Prix à partir de 400
Source: www.turquiesante.com 800 x 600

.

Dental Implant Procedure Stages and Timeline - Optimistic Mommy

Dental Implant Procedure Stages and Timeline - Optimistic Mommy
Source: optimisticmommy.com 1280 x 853

dental implant procedure implants teeth stages timeline surgical mouth.

Implant dentaire : qu'est-ce que c'est

Implant dentaire : qu'est-ce que c'est
Source: www.cdt-34.fr 1000 x 828

dentaire implant.

Qualité implants dentaires - newdentaire.com

Qualité implants dentaires - newdentaire.com
Source: newdentaire.com 1024 x 683

.

Pose d'implants dentaires | Clinique Des Francs

Pose d'implants dentaires | Clinique Des Francs
Source: www.clinique-des-francs.fr 1012 x 858

implant dentaire implants dental dentaires clinique francs prothèse astuce couronne pilier unitaire.

Implants dentaires : prix dans les cliniques dentaires à Chisinau en

Implants dentaires : prix dans les cliniques dentaires à Chisinau en
Source: jpost.fr 1255 x 836

.

Ou Se Faire Poser Des Facettes Dentaires

Ou Se Faire Poser Des Facettes Dentaires
Source: faireimportant.blogspot.com 1600 x 1020

dentaires facettes dentaire facette.

Combien coûte une consultation aux urgences dentaires

Combien coûte une consultation aux urgences dentaires
Source: www.medisite.fr 1221 x 859

.

Prothèse sur implants dentaires | Dentier sur implants

Prothèse sur implants dentaires | Dentier sur implants
Source: implant-dentaire-en-hongrie.fr 588 x 500

.

Peut On Changer Une Couronne Dentaire / Comment Changer La Couleur De

Peut On Changer Une Couronne Dentaire / Comment Changer La Couleur De
Source: srturn11.com 800 x 600

.

Pour quelles raisons se faire poser des implants dentaires

Pour quelles raisons se faire poser des implants dentaires
Source: trustmyscience.com 950 x 594

poser dentaires raisons implants.

Combien coûte les implants dentaires complets All-on 4 ? - STIF

Combien coûte les implants dentaires complets All-on 4 ? - STIF
Source: www.stif-idf.fr 900 x 600

.

Nettoyage des remplacements dentaires fixes: couronnes et ponts

Nettoyage des remplacements dentaires fixes: couronnes et ponts
Source: subadental.com 1080 x 675

dentaire nettoyage dents implants subadental suba dentaires couronne pont ink fixes couronnes ponts remplacements restorations.

Qu'est-ce qu'un bridge dentaire ? - Wk-pharma.fr

Qu'est-ce qu'un bridge dentaire ? - Wk-pharma.fr
Source: www.wk-pharma.fr 2048 x 1360

dentaire wk.


Various videos from Combien D'implants Dentaires Peut On Poser En Une Seule Fois


Gallery of Combien D'implants Dentaires Peut On Poser En Une Seule Fois

Combien d'implants dentaires peut-on poser en une seule fois
combien d'implants dentaires peut on poser en une seule fois
Combien d'implants dentaires en Turquie ? - Dentaire Turquie - 2022
Implant dentaire ou prothèse : que choisir ? • 123 info santé
L’implant dentaire : présentation et coût
Peut-on poser des implants dentaires chez les diabétiques et les
Implant Dentaire en Turquie Avis, Prix à partir de 400
Dental Implant Procedure Stages and Timeline - Optimistic Mommy
Implant dentaire : qu'est-ce que c'est
Qualité implants dentaires - newdentaire.com
close